Dr. Scott C. Nelson - CHI Orthopedics
16909 Lakeside Hills Court
STE 208
Omaha, NE 68130
ph: (402) 717-6870
admin
Bunion or Hallux Abducto Valgus (HAV) as it is classically described is a bump on the inside part of the foot. There are a number of factors that affect the creation of a bunion and genetics, foot wear, activity level and increased pronation are implicated the most. Surgery is designed to correct the deformity at the most appropriate level. There are a number of pre-surgical angles and clinical findings that I look at prior to determining the best type of procedure for the patient. We also tend to take into account the patients best wishes and activity level to ultimately guide us for the final decision.
Overall , bunion surgery is very successful with reproducible outcomes if the recommended guidelines are followed.
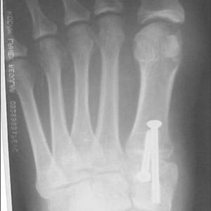
The above surgery is a classic Lapidus type bunion surgery that is designed to treat a moderate to severe bunion deformity.
Pre- and Post-operative photos of a bunionectomy patient. Note a well healed incision site, swelling still present which is a common issue and will eventually resolve.
This is a typical illustration of the postoperative findings with a midfoot fusion/Lapidus type of bunionectomy. This is for moderate to severe bunions with a larger intermetatarsal (angle between 1 and 2) angle. Note the 2 sesmoid bones are realigned under the head of the metatarsal as they should be normally.
Enter a brief description of this pair of images here to help your visitor understand how they're related. If you're showing before and after photos, for example, you might point out some of the improvements from one to the other.
Enter a brief description of this pair of images here to help your visitor understand how they're related. If you're showing before and after photos, for example, you might point out some of the improvements from one to the other.
This double osteotomy bunionectomy is a good procedure to choose for a moderate bunion and still allows patients to be weight bearing on the foot post-operatively.
Dr. Scott C. Nelson - CHI Orthopedics
16909 Lakeside Hills Court
STE 208
Omaha, NE 68130
ph: (402) 717-6870
admin